Lajme
Video
Sport
Pop News
Programe
Youtube
Top News LIVE
Lajme
Politikë
Kronikë
Aktualitet
Ekonomi
Sociale
Video
Top News LIVE
Bota
Opinion
Koment
Kosova dhe Rajoni
Shkencë dhe Teknologji
Auto
Video
Programe
Lajme
Sport
Kombëtarja
Kategoria Superiore
Kategoria e Parë
Premier League
La Liga
Serie A
Shumësportësh
Sport Gossip
Pop News
Showbiz
Lifestyle
Fashion
Shëndeti
Dieta
Receta gatimi
Programe
Big Brother VIP
Për’puthen
Shqipëria LIVE
Fiks Fare
Video
Të gjitha programet
Guida TV
Top Channel
Rreth Top Channel
Bileta
Kontakt
Puno në Top Channel
Privacy Policy & Terms of Use
Plehrat e Patosit shqetësojnë banorët. Bashkia: Duam landfill!
31/08/2018 12:33
Shkodër, ushqimet shiten në rrugë. Tregu i ri nuk është ndërtuar ende
31/08/2018 12:25
Salah nuk e përshëndet, Ramos e provokon (Video)
31/08/2018 12:25
Inter-Real, “luftë” verbale për Modriç
31/08/2018 12:14
SHBA refuzon projektin hekurudhor mes dy Koreve
31/08/2018 12:10
Aksident në Rrugën e Arbërit, plagosen 4 persona
31/08/2018 11:46
Koreja e Veriut dhe Kina, Japonia kërkon superbuxhet për mbrojtjen
31/08/2018 11:43
Seri vjedhjesh në Korçë, në shënjestër kishat dhe banesat e emigrantëve
31/08/2018 11:31
Rama: Turizmi rriti ekonominë, por nuk po shfrytëzojmë agro-turizmin
31/08/2018 11:25
Donald Lu nuk i reziston tundimit të “Mobike”, në zyrën e Veliajt
31/08/2018 11:12
Kryemadhi: Kriminelët nuk kanë frikë nga shteti. E kanë në dorë shtetin!
31/08/2018 11:08
Historike, kinezi ia del të garojë me biçikletë në Everest
31/08/2018 10:59
Një Bugatti Chiron i krijuar me LEGO… që funksionon si makinë normale! (Foto)
31/08/2018 10:52
“US Open”, kualifikohen Djokoviç, Federer dhe Sharapova për femra
31/08/2018 10:19
Lamtumirë ndërrimit të orës? Juncker: Vendimi merret brenda ditës
31/08/2018 10:09
Njihuni me 70-vjeçaren më elegante në botë (Foto)
31/08/2018 10:07
Apple do të prezantojë modelet e reja, aksionet marrin “arratinë”
31/08/2018 10:03
Kapen dy vëllezërit hajdutë, vodhën makinën për ta shitur si pjesë këmbimi
31/08/2018 09:47
Këndvështrimi perfekt nga Emily Ratajkowski (Foto)
31/08/2018 09:45
Elbasan, arrestohen vëllezërit që goditën punonjësin e ujësjellësit
31/08/2018 09:36
Tërmeti trondit Greqinë, lëkundjet ndihen edhe në Shqipëri
31/08/2018 09:26
OKB-Kinës: Mbyllni kampet e internimit të ujgurëve!
31/08/2018 09:17
Depardieu akuzohet për përdhunim nga një 22-vjeçare
31/08/2018 09:01
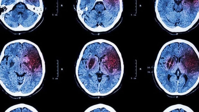
Goditjet në tru mund të dyfishojnë rrezikun e demencës
31/08/2018 08:39
Lufta tregtare, Trump kërcënon me tërheqjen e SHBA nga OBT-ja
31/08/2018 08:17
Trump rifillon kërcënimet ndaj Koresë së Veriut
30/08/2018 22:59
Macron: BE të modernizojë marrëdhëniet
30/08/2018 22:53
Spanja, drejt ndryshimit të politikës ndaj imigrantëve
30/08/2018 22:47
Ministrja austriake kërkon më shumë angazhim për Ballkanin
30/08/2018 22:40
“Irani po zbaton marrëveshjen bërthamore”
30/08/2018 22:23